Cabinet "SMILE" Dr Florence TAMINE
Orthodontiste à Montauban de Bretagne
ACCUEIL
LE CABINET
PLAN D'ACCÈS
URGENCES
FICHES CONSEILS
CONTACT
+33 2 99 06 69 68
9 rue de la Forge, 35360 Montauban de Bretagne
ACCUEIL
LE CABINET
PLAN D'ACCÈS
URGENCES
FICHES CONSEILS
CONTACT
Cabinet "SMILE" Dr Florence TAMINE
Orthodontiste à Montauban de Bretagne
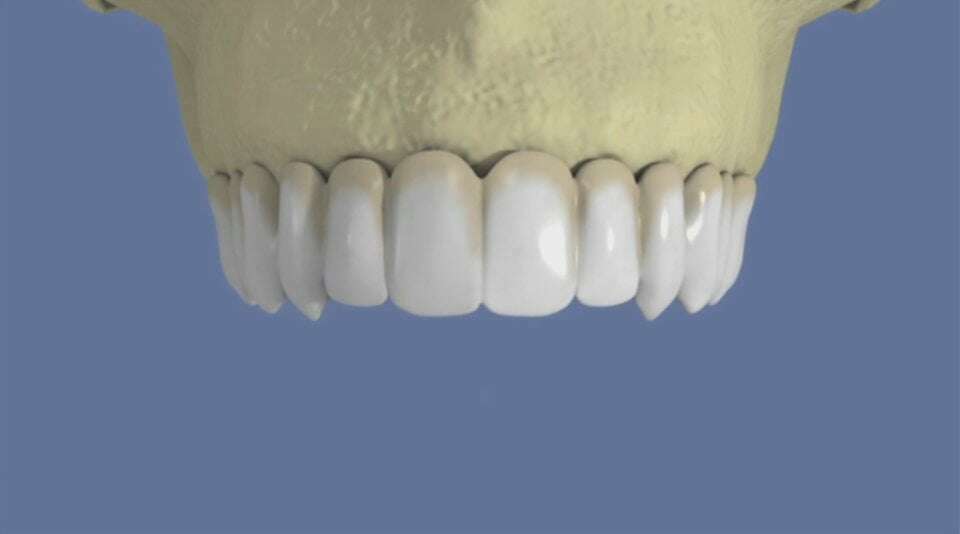
Maxillaire : bridge vissé sans fausse gencive
Vidéos 3D
Partager
Twitter
Partager
Partager
Envoyer
Copier
Cabinet "SMILE" Dr Florence TAMINE
9 rue de la Forge
35360
Montauban de Bretagne
+33299066968
Politique de confidentialité et charte cookie
Mentions légales
Conditions Générales Utilisation
Charte déontologique
Ordre national
Annuaires chirurgiens dentistes
Urgences
Urgences
Création par
Connexion